Acest site folosește cookies. Continuarea navigării implică acceptarea lor. Mai multe informatii aici
OK

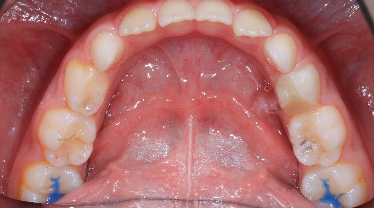
Sigilarea dentară

Ce este sigilarea dentară?

Sigilarea dentară reprezintă reducerea adâncimii șanțurilor și fosetelor dentare, în special la nivelul maselelor, pentru a fi mai ușor de igienizat de către copil și mamă și pentru ca placa bacteriană să adere mai greu, reducând zonele de retenție bacteriană.

Acest deziderat se realizează aplicând la nivelul șanțurilor și fosetelor maselelor un material ușor fluid care să le umple.

Este recomandat ca sigilarea să se efectueze, în special, la nivelul maselelor definitive care apar în jurul vârstei de 6 ani, aceasta fiind vârsta la care igienizarea corectă este dificil de realizat de către copil. În eventualitatea în care carioactivitatea este mare (copilul are deja multe carii și igienizarea nu se efectuează corect), este recomandat a fi sigilați atât premolarii , cât și molarii care apar in jurul vârstei de 12 ani.

 

Cand este recomandat a fi efectuată?

Sigilarea dentară este recomandată copiilor care au în jur de 6 ani, o dată cu apariția primelor masele definitive. Ideal este ca sigilarea să fie efectuată pe suprafața indemnă de carie a dintelui, până apare primul semn de carie. Dacă nu s-a reușit acest deziderat, se va curăța dintele de carie și apoi se așează materialul de sigilare. Această manoperă se numește sigilare lărgită și necesită urmărire frecventă. Studiile spun că sigilarea dentară reduce riscul de aparitie a cariilor pe suprafața cu care mestecăm cu 60-80%.

 

Cui îi este adresată sigilarea dentară?

Sigilarea dentară este recomandată tuturor copiilor care au vârsta aproximativă de 6 ani. Este recomandat a fi efectuată de îndată ce erupe complet pe arcadă pentru a nu apărea pe suprafața dintelui o carie.

 

Cum se efectuează sigilarea dentară?

Pentru a putea aplica materialul de sigilare pe suprafața dintelui este necesar a se curăța suprafața dentară. Această curățare se realizează în clinica noastră cu ajutorul laserului. Aceasta este o manoperă complet neinvazivă și nedureroasă. Laserul va curăța de bacterii șanturile și fosetele de pe suprafața maselei astfel încât să poată fi aplicat materialul de sigilare. Ulterior, va fi aplicat

 

Este necesar sa mai merg la control la medicul stomatolog dacă am facut sigilarea maselelor?

Sigilarea dentară este necesar a fi verificată și evaluată o dată la 3- 6 luni. Aceasta se poate deteriora în timp și apare necesitatea completării sau schimbării acesteia. În plus, la acest interval de timp este necesară o consultație pentru a observa eventuale schimbări care apar în sănătatea dentară și pentru a se efectua o igienizare sau un periaj, în funcție de vârsta și necesitățile copilului.

 

Cu drag, 

Dr. Maria Craiciu și Echipa Fab Dent

Lasă-ne un comentariu

Nu exista comentarii.